
¿Cuál de estos países tiene más pirámides que Egipto?
El cerebro reacciona liberando diversas sustancias. Hallazgo emocionante
Curiosidades25/01/2021
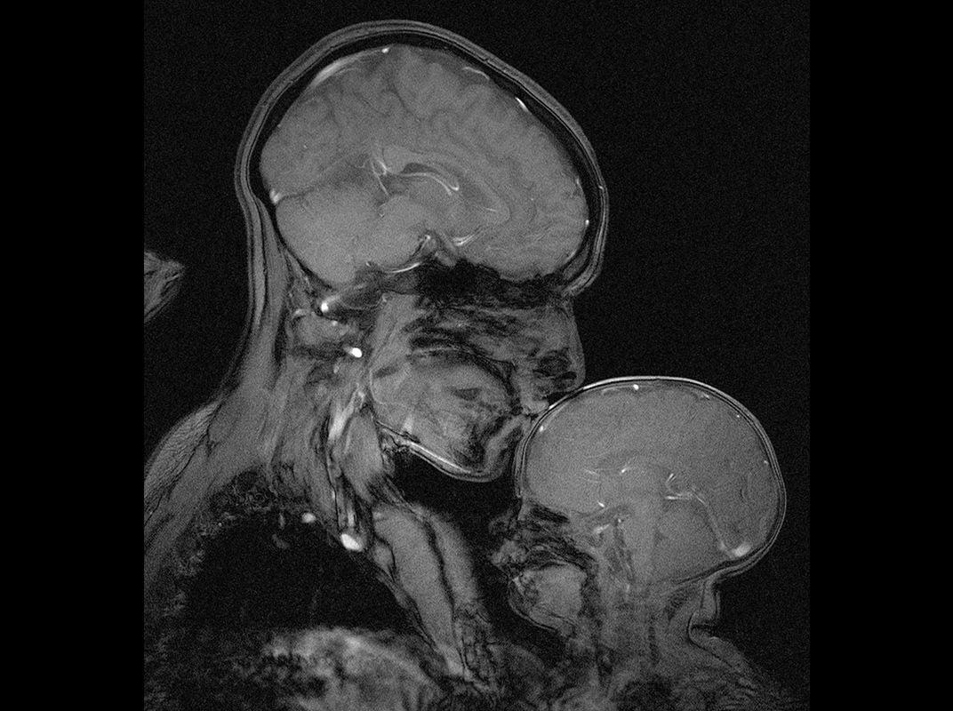
EditorLa neuróloga Rebecca Saxe presentó la “foto” más hermosa del año. Es la imagen de una resonancia magnética captada cuando una madre besa a su hijo de dos meses. Los labios colocados en la cabeza del pequeño inmediatamente provocan una reacción en su cerebro.

Se libera dopamina, que da la sensación de bienestar, pero también oxitocina, bautizada como la hormona de amor, porque es responsable del afecto y el apego.
Besar provoca una reacción química en el cerebro del pequeño. Reduce el miedo y aumenta la confianza, provoca sentimientos de afecto y apego, señal de que el bebé entendió que está protegido.
Rebeca
También se libera vasopresina, el ′′ pegamento ′′ que conecta madres con bebés en sus primeros meses de vida y serotonina, que regula el estado de ánimo.
Olivia Butnariu
PODRÍA INTERESARTE:

¿Cuál de estos países tiene más pirámides que Egipto?

Un acto tan cotidiano como es comer una ensalada puede ser menos saludable de lo que pensamos. Tras décadas de agricultura industrial, todo el mundo es consciente de que la comida en mayor o menor medida puede estar contaminada por pesticidas.

En la Antigua Roma, la sexualidad no se definía por el género, sino por el poder y el rol en las relaciones.

Adrián Narváez y Delia Lúquez se llevan 45 años. Se conocieron en 1998, cuando él tenía 16 y ella 61, y fue un flechazo. Desde Mendoza, de donde son oriundos, repasan su historia de amor y cuentan los prejuicios a los que se enfrentaron

David Hahn había desarrollado una pasión por la ciencia desde su infancia. A los 17, construyó un reactor nuclear en en fondo de su casa. Cómo recolectó los elementos necesarios y el engaño a los organismos de control de Estados Unidos para obtener información. Qué le sucedió tras ser descubierto

Europa continental alberga cuatro microestados con poblaciones de entre 30.000 y 80.000 habitantes: Andorra, en la frontera entre Francia y España; Liechtenstein, incrustado entre Suiza y Austria; Mónaco, que yace sobre la Riviera francesa; y San Marino, rodeado por la región norte de Italia.

La Ciudad Perdida de Derinkuyu. Derinkuyu, en Turquía, es una ciudad subterránea que podía albergar a 20,000 personas, descubierta por casualidad en 1963 cuando un hombre remodelaba su casa.

Esta operación matemática es un ejemplo del orden correcto que se debe seguir para tener el resultado real



Su Alteza Real la Gran Duquesa María Teresa de Luxemburgo participará en la próxima edición de la Cumbre Internacional de Jóvenes Líderes

Su salto al mercado laboral ha creado la tormenta perfecta

La herramienta utiliza Inteligencia Artificial para procesar datos satelitales de acceso abierto y analizar variables ambientales cruciales

🧠 ¡El Escudo Invisible de su Mente! La Clave para un Cerebro Fuerte y Joven

2.000 jóvenes participarán gratuitamente del encuentro, considerado el más influyente para jóvenes en Iberoamérica. La Gran Duquesa María Teresa de Luxemburgo, Laura Gil, Secretaria Adjunta de la OEA y el Presidente de Bimbo, Daniel Servitje son algunas de las personalidades que participarán. El sitio oficial ya habilitó el registro.

